koolnews logo
  • ΑΡΧΙΚΗ
  • News
  • Media
  • Showbiz
  • Koolgirls
  • Sports
  • Funny
  • Travel
  • Food
Subscribe
  • Έρευνες
Κυριακή, Μάι 10, 2026
Font ResizerAa
KoolnewsKoolnews
  • Έρευνες
  • Νύχια
  • Μαλλιά
  • Ομορφιά
  • Ζώδια
  • Ανέκδοτα
Search
  • ΑΡΧΙΚΗ
  • News
  • Media
  • Showbiz
  • Koolgirls
  • Sports
  • Funny
  • Travel
  • Food
Koolnews > Νέα εποχή στην πρόληψη: Τεχνητή νοημοσύνη εντοπίζει καρκίνο του μαστού έως και 5 χρόνια πριν εμφανιστούν συμπτώματα
news

Νέα εποχή στην πρόληψη: Τεχνητή νοημοσύνη εντοπίζει καρκίνο του μαστού έως και 5 χρόνια πριν εμφανιστούν συμπτώματα

Kool Team
Last updated: 2 Οκτωβρίου, 2025 9:40 μμ
Kool Team
Published: 2 Οκτωβρίου, 2025
Share
SHARE

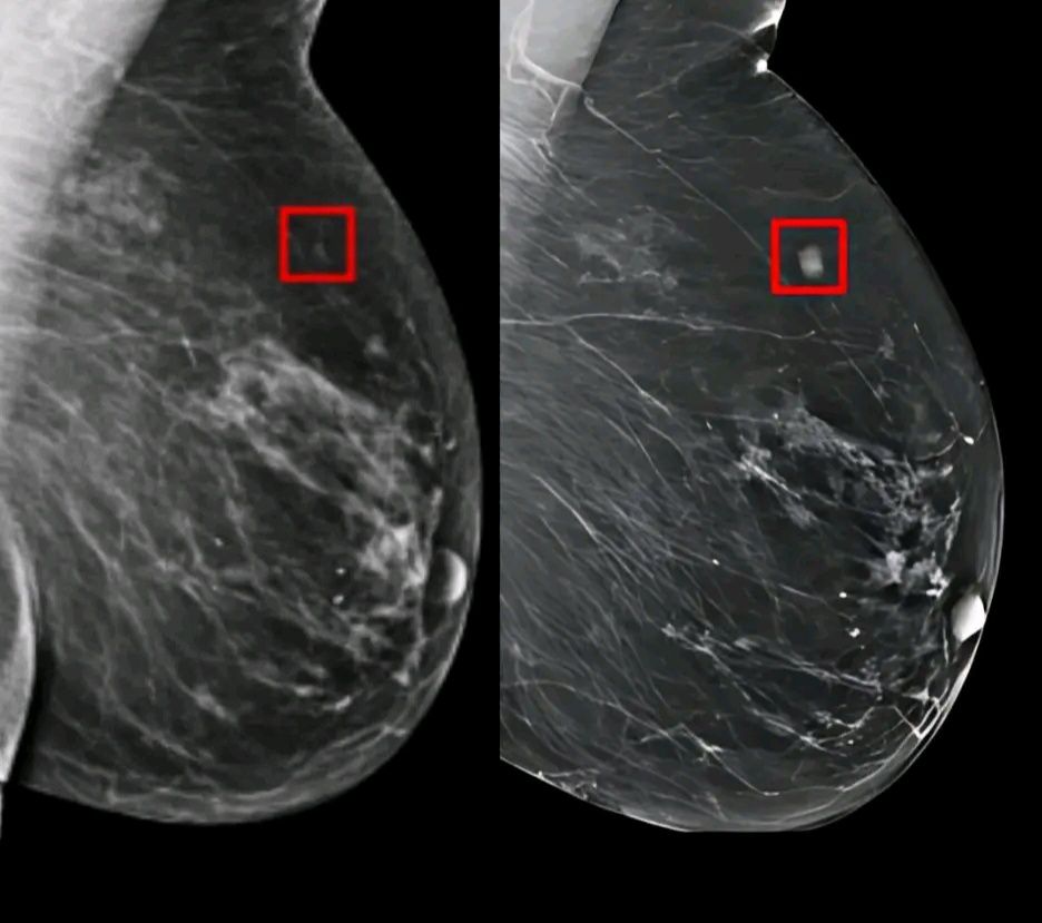
Μια αθόρυβη επανάσταση βρίσκεται σε εξέλιξη στον τομέα της πρόληψης του καρκίνου του μαστού, και αυτή τη φορά την υπογράφει η τεχνητή νοημοσύνη. Ένα νέο μοντέλο AI υπόσχεται να αλλάξει τα δεδομένα στη διάγνωση – εντοπίζοντας προειδοποιητικά σημάδια καρκίνου έως και πέντε χρόνια πριν εμφανιστούν τα πρώτα συμπτώματα.

Ενότητες
  • Από τις σκιές της μαστογραφίας στην έγκαιρη πρόγνωση
  • Ένα απλό εργαλείο με μεγάλη επίδραση
  • Γιατί έχει σημασία αυτή η πρόοδος
  • Το μέλλον της διάγνωσης είναι προγνωστικό

Από τις σκιές της μαστογραφίας στην έγκαιρη πρόγνωση

Το σύστημα τεχνητής νοημοσύνης, με την ονομασία AsymMirai, έχει σχεδιαστεί για να αναλύει τις μαστογραφίες με έναν τρόπο που ξεφεύγει από τα παραδοσιακά πρότυπα. Αντί να αναζητά όγκους ή ανωμαλίες που ήδη υπάρχουν, επικεντρώνεται σε κάτι πιο διακριτικό: στις ασυμμετρίες ανάμεσα στο δεξί και το αριστερό στήθος.

Αυτές οι μικρές διαφορές, που πολλές φορές περνούν απαρατήρητες από το ανθρώπινο μάτι, κρύβουν πολύτιμες ενδείξεις για μελλοντικό κίνδυνο. Το AI εντοπίζει και «διαβάζει» αυτές τις αποκλίσεις, δημιουργώντας ένα προγνωστικό προφίλ που δείχνει ποια γυναίκα έχει αυξημένες πιθανότητες να εμφανίσει καρκίνο τα επόμενα χρόνια.

Ένα απλό εργαλείο με μεγάλη επίδραση

Σε αντίθεση με άλλα συστήματα τεχνητής νοημοσύνης που λειτουργούν ως «μαύρα κουτιά», το AsymMirai είναι διαφανές και εύκολο στη χρήση από τους γιατρούς. Δεν απαιτεί ειδικές τεχνικές γνώσεις και μπορεί να ενσωματωθεί στην καθημερινή κλινική πράξη.

Αυτό σημαίνει ότι μπορεί να χρησιμοποιηθεί σε ευρεία κλίμακα – ακόμη και σε χώρες με περιορισμένους πόρους – ενισχύοντας τον προληπτικό έλεγχο και επιτρέποντας στο ιατρικό προσωπικό να εντοπίζει γυναίκες υψηλού κινδύνου πολύ νωρίτερα.

Γιατί έχει σημασία αυτή η πρόοδος

Ο καρκίνος του μαστού παραμένει η πιο συχνή μορφή καρκίνου στις γυναίκες παγκοσμίως. Η πρόληψη και η έγκαιρη διάγνωση είναι οι ισχυρότεροι μας σύμμαχοι για την επιβίωση. Όσο νωρίτερα ανιχνεύεται ο κίνδυνος, τόσο περισσότερες επιλογές θεραπείας υπάρχουν, και τόσο μεγαλύτερες είναι οι πιθανότητες πλήρους ίασης.

Με τεχνολογίες όπως το AsymMirai, ανοίγει ο δρόμος για προσωποποιημένο προληπτικό έλεγχο – με συχνότερες εξετάσεις σε όσες έχουν αυξημένο ρίσκο και αποφυγή άσκοπων επεμβάσεων σε όσες δεν χρειάζονται περαιτέρω παρακολούθηση.

Το μέλλον της διάγνωσης είναι προγνωστικό

Η τεχνητή νοημοσύνη δεν αντικαθιστά τον γιατρό· του δίνει όμως ένα νέο εργαλείο, πιο ακριβές και προσαρμοσμένο στις ανάγκες κάθε ασθενούς. Η πρόβλεψη αντί της απλής παρακολούθησης αποτελεί πλέον τον νέο στόχο στην ιατρική πρόληψη.

Καθώς η τεχνολογία συνεχίζει να εξελίσσεται, η προσδοκία είναι σαφής: να μπορούμε να εντοπίζουμε τον καρκίνο προτού καν εμφανιστεί. Και το AsymMirai αποδεικνύει πως αυτή η προσδοκία μπορεί να γίνει πραγματικότητα.

Follow Koolnews.gr στο Google News
Share This Article
Facebook Copy Link Print
Weather
21°C
Athens
few clouds
22° _ 20°
65%
2 km/h
Κυ
21 °C
Δε
25 °C
Τρ
27 °C
Τε
26 °C
Πε
25 °C
Διαφήμιση

Let's Connect

304.9KLike
3MFollow
304.9KPin
844.9MFollow

Popular Posts

Τρόμος στην Καλλιθέα: Πυροβόλησε τη σύζυγο του ιδιοκτήτη μπαρ με ούζι – Η στιγμή της σύλληψης

Kool Team
2 Min Read

Άγριο έγκλημα στη Θεσσαλονίκη: Εκτέλεσαν άνδρα στα Μάλγαρα και τον πέταξαν στο ποτάμι – Οι ομολογίες που «έκαψαν» τους δράστες

Kool Team
3 Min Read

Αντίστροφη μέτρηση για τις παλιές ταυτότητες: Η κρίσιμη ημερομηνία και τι θα συμβεί αν δεν τις αλλάξετε

Kool Team
3 Min Read

You Might Also Like

Μπάσκετ

Ποιος Βασίλιε Μίσιτς; Ο Δημήτρης Γιαννακόπουλος ετοιμάζεται να κάνει αυτό που δεν έχει γίνει ποτέ στη Euroleague!

6 Min Read
koolgirlsLifestyleΓυναίκα

Jennifer Anniston: Μυστικά ομορφιάς για τέλεια επιδερμίδα

1 Min Read
Υβόννη Μπόσνιακ
Showbiz

Υβόννη Μπόσνιακ: Το ριγέ μαγιό τηε τρέλανε τον Αντώνη Ρέμο αλλά και το σκύλο της

1 Min Read
Showbiz

Dua Lipa: ΕΜΕΤΟΣ. Τα αηδιαστικά παπούτσια απο ταινία τρόμου. Αυτή τα λατρεύει ο κόσμος τα σιχαίνεται

2 Min Read
Showbiz

Βίκυ Κουλιανού: Ποζάρει με την Ελληνική σημαία και ο γύπας Γιάννης Σπαλιάρας αποθεώνει – Δες τι έγραψε

2 Min Read
koolgirls

Έμιλι Ραταϊκόφσκι: Κάνει παρκέ με το γuμvό της στήθoς και «φουσκώνει» πατώματα – Φωτογραφία ΕΠΟΣ

1 Min Read
news

Μπάχαλο στο ΣΥΡΙΖΑ: Χαμάς ή Ισραήλ; Τι υποστηρίζουν τελικά;

1 Min Read
Showbiz

Ξέσπασμα Σμαράγδας Καρύδη: Η αλήθεια πίσω από τις «στημένες» ερωτήσεις στα ΜΜΕ για το ντόρο

3 Min Read

Social Networks

Facebook-f Twitter Youtube Instagram

Koolnews network

Koolnews
Koolnews
Koolnews
Koolnews
Koolnews
tvfreaks tvfreaks

Koolnews, Ελαιών 25, Κηφισιά 145 64

Koolnews
Koolnews
Koolnews.gr © 2026 – All rights reserved
  • Όροι Χρήσης
  • Σχετικά με Εμάς
  • Contact us
  • Πολιτική Cookies (ΕΕ)
  • GDPR Privacy Policy
  • .
Welcome Back!

Sign in to your account

Username or Email Address
Password

Lost your password?